近年来,随着肥胖问题的日益严峻,减重与肥胖管理逐渐被纳入国家战略,成为社会关注的焦点。2023年11月,国家卫健委联合16个部门发布了《“体重管理年”活动实施方案》,提···
健康 熊导航
2024-12-12
随着外商独资医院政策在今年9月的出台,关于如何看待这一变化的问题成为了公众和业内人士讨论的热点。从医生到患者,从政策研究者到医疗行业观察者,各方的声音不断交织。面···
健康 熊导航
2024-12-12
转移性三阳性乳腺癌(TPBC)作为一种特殊的HER2阳性乳腺癌亚型,通常表现为同时表达HER2和激素受体(ER+、PgR+),约占所有乳腺癌病例的20%-25%。这种病症不仅在生物学上具···
健康 熊导航
2024-12-12
随着社会对健康意识的逐步提升,尤其是对女性健康的关注,南京市妇幼保健院以其独特的视角和创新精神,积极推动女性全生命周期的健康管理体系建设。这一举措不仅是对传统医···
健康 熊导航
2024-12-12
随着气温的骤降和呼吸道疾病的逐渐高发,水痘这一常见的传染性疾病也悄然进入了不少校园。近期,上海和杭州等地的一些学校出现了水痘病例,尤其在初中生中,感染者的数量逐···
健康 熊导航
2024-12-12
在现代社会,随着年龄的增长,越来越多的人开始关注如何保持大脑的活力。许多研究发现,保持大脑健康并不需要高强度的脑力活动,甚至简单的舌头运动也能有效促进大脑功能,···
健康 熊导航
2024-12-12
大雪节气的第一场雪如期而至,整个城市仿佛被这场雪覆盖,路上的行人匆匆行走,脚步声在冷冽的空气中回荡。窗外,雪花飘扬,而屋内,却是另一番温暖的景象。张宇和家人围坐···
健康 熊导航
2024-12-12
随着天气转冷,感冒发烧的高发季节又一次来临。无论是孩子还是成人,许多人都开始出现持续高烧、咳嗽不断、甚至肌肉酸痛等症状,很多人认为这不过是普通的流感。在当前这一···
健康 熊导航
2024-12-12
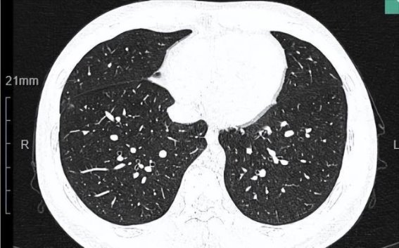
磨玻璃结节在如今的医学检查中并不罕见,尤其是在肺部CT扫描中,这种结节往往会引起患者的高度关注和担忧。大多数情况下,磨玻璃结节并不像它的名字那样具有明确的威胁性。···
健康 熊导航
2024-12-12
近日,黑龙江省疾控中心专家组和市疾控中心专家组一行五人,前往伊美区疾控中心,开展了慢阻肺(COPD)监测项目的业务指导。此次现场指导不仅聚焦于项目的实施情况,还对监···
健康 熊导航
2024-12-12
减肥是一个永恒的话题,几乎每个人都在不同的阶段有过减肥的经历或尝试。网络上的减肥故事多种多样,方法也是层出不穷。减肥不仅仅是一场身体的较量,更是心理的考验。很多···
健康 熊导航
2024-12-12
在追求健康生活的道路上,谁不希望既能享受美食,又能悄无声息地将脂肪击退呢?想象一下,如果有一种食物,既能够满足我们挑剔的味蕾,又能在不知不觉中将那些顽固的脂肪彻···
健康 熊导航
2024-12-12
大雪节气,作为冬季的第三个节气,气候变得愈加严寒,降水逐渐增多,空气中的湿度也急剧下降。此时,人体的适应能力面临考验,尤其是呼吸道、关节等部位,容易受到寒冷侵袭···
健康 熊导航
2024-12-12
12月6日,二十四节气中的“大雪”如期而至。根据传统养生观念,大雪节气标志着冬季寒冷的来临,也是养生保健的关键时刻。正如俗话所说:“大雪不养生,来年把病生。”这意味···
健康 熊导航
2024-12-12
衰老是每个人都无法避免的自然规律,但衰老的过程并非匀速进行。随着年龄的增长,身体逐渐步入衰退期。尤其在中年阶段,若不注意生活习惯,衰老的速度会突然加速,出现各种···
健康 熊导航
2024-12-12