冬季总是给人一种寒冷、沉寂的感觉,尤其是对于中老年人来说,寒冷的天气更是心脏病的高发期。张建民,五十出头的中学教师,每年冬天都感到身体不适,尤其是心脏,总觉得负···
健康 熊导航
2024-12-11
随着现代生活节奏的不断加快,人们的工作压力、生活压力也在不断增大。长时间的焦虑和紧张,往往让我们无法安然入睡,睡眠质量逐渐下降。尤其是“碎片化睡眠”这一问题,逐···
健康 熊导航
2024-12-11
冬季的寒冷不仅让人感受到温度的骤降,更是对心血管健康的一次严峻考验。每到这个季节,许多高血压、高血脂和糖尿病等“三高”患者的心血管疾病发病率会显著上升。寒冷的气···
健康 熊导航
2024-12-11
在山西的一个普通农村,65岁的殷北一直以勤劳务实著称。尽管年纪已大,但他身子骨硬朗,几乎每天都要出门干活,靠着自己种的蔬菜去镇上卖些小东西换取收入。镇上的街角卤味···
健康 熊导航
2024-12-11
氩氦刀冷冻消融术,这一创新性的治疗技术,正逐渐成为癌症治疗领域的佼佼者。它通过超低温与高温交替作用,精确摧毁肿瘤细胞,同时避免了传统手术带来的创伤和风险。在这项···
健康 熊导航
2024-12-11
普外科一病区作为西安市第三医院的核心科室之一,承担着重要的医疗使命。凭借深厚的学科底蕴、精湛的医疗技术以及丰富的临床经验,这个科室不仅在常见病、多发病的治疗上展···
健康 熊导航
2024-12-11
冬天的寒风凛冽,气候干燥,仿佛一夜之间,天地间的每一丝空气都变得冰冷刺骨。在这样的时节里,身体的各个系统都容易受到寒冷和干燥的侵袭,尤其是呼吸道和皮肤容易出现干···
健康 熊导航
2024-12-11
大雪节气,寒风刺骨,窗外的大雪纷纷扬扬地飘落,屋内却温暖如春。张华坐在餐桌前,看着家人围坐在一起,热气腾腾的羊肉汤锅散发着诱人的香气,暖意融入每一寸空气中。就在···
健康 熊导航
2024-12-11
李女士一直以来非常注重自己的健康,尤其是因为家族中有乳腺癌患者,她更是把定期进行乳腺筛查当作自己生活中的一项重要任务。每年,她都按照医生的建议,进行一次彻底的检···
健康 熊导航
2024-12-11
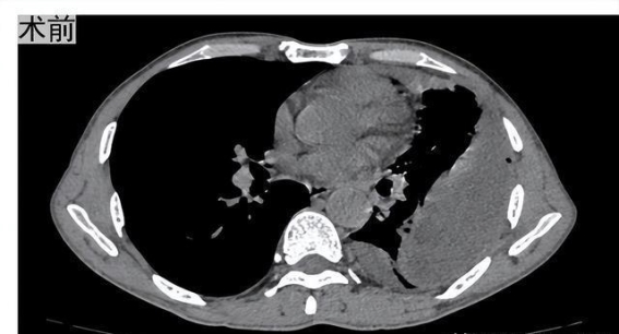
脓胸,这一病症往往在早期阶段不易引起患者足够的警觉,它通常表现为轻微的发热、咳嗽以及胸部不适,许多人会以为这只是普通的呼吸道感染,进而忽视了其潜在的严重性。脓胸···
健康 熊导航
2024-12-11
随着冬季气温的骤降和空气质量的波动,呼吸道疾病的风险逐渐上升。冬季不仅是感冒、流感等常见呼吸系统疾病的高发季节,也是肺结节等潜在健康隐患容易被忽视的时期。为了增···
健康 熊导航
2024-12-11
最近,马大爷听说了一句让他深思的话:“能活过80岁的糖尿病患者,多数都是在50岁时,戒掉了三样东西。”这话乍一听,似乎有些绝对,但若细心观察一些长寿的糖尿病患者,你···
健康 熊导航
2024-12-11
42岁的李晓明是一位事业心极强的项目经理,常年奔波于忙碌的工作中。加班成了他的常态,开会、整理方案、应酬……这些成了他日复一日的生活。健康问题,似乎和他没有太多关···
健康 熊导航
2024-12-11
在人生的忙碌与焦虑之间,我们常常忽略了一个最简单却又最重要的事实:身体与心灵的健康,从来都不是外界的压力能决定的。而是取决于我们自己如何调节内心的状态。病痛的源···
健康 熊导航
2024-12-11
随着冬季的到来,泡脚作为一种传统的养生方式再次成为了不少人关注的焦点,尤其是在寒冷的天气中,泡脚带来的温暖和舒适感更是让人欲罢不能。而随着消费者对健康的重视,泡···
健康 熊导航
2024-12-11